LP, WBC, TBI는 의학 분야에서 자주 사용되는 중요한 의학 약어들입니다. 이러한 의학 용어들은 의료진 간의 효율적인 의사소통을 위해 사용되며, 각각 특정 의료 시술이나 검사, 질환을 나타냅니다. LP는 요추천자(Lumbar Puncture)를, WBC는 백혈구(White Blood Cell)를, TBI는 외상성 뇌손상(Traumatic Brain Injury)을 의미합니다. 이 용어들을 정확히 이해하는 것은 의료 정보를 올바르게 해석하고 환자 상태를 파악하는 데 필수적입니다.
LP 의학용어

LP(Lumbar Puncture, 腰椎穿刺)는 의학 용어로 ‘요추천자’를 의미합니다. 이는 척추의 요추 부위에 바늘을 삽입하여 뇌척수액을 채취하거나 약물을 주입하는 의료 시술입니다. 주로 뇌수막염, 뇌출혈, 다발성 경화증 등의 진단이나 특정 약물 투여를 위해 시행됩니다. 의료 현장에서는 단순히 ‘LP’라고 약칭하여 사용하는 경우가 많습니다. 예를 들어, “환자의 뇌수막염 의심 소견으로 LP를 시행했습니다”라고 표현합니다.
LP의 주요 의미: 요추천자(Lumbar Puncture)
- 요추천자의 목적: 요추천자는 주로 진단 목적으로 시행됩니다. 뇌척수액의 압력 측정, 세포 수 계산, 단백질 및 포도당 농도 측정, 미생물 배양 등을 통해 중추신경계 감염, 자가면역 질환, 출혈 등을 진단할 수 있습니다. 또한 항생제, 항암제, 마취제 등의 약물을 직접 중추신경계에 투여하는 치료 목적으로도 사용됩니다. 특히 뇌수막염이 의심될 때는 빠른 진단과 치료를 위해 필수적인 검사입니다.
- 시술 방법: 요추천자는 보통 환자를 옆으로 눕히거나 앉은 자세에서 시행합니다. L3-L4 또는 L4-L5 요추 간격에 바늘을 삽입하여 뇌척수액이 있는 지주막하 공간에 도달합니다. 이 위치는 척수가 끝나는 부위 아래이므로 척수 손상의 위험이 적습니다. 시술 전에는 피부 소독과 국소 마취를 시행하며, 시술 후에는 두통 예방을 위해 충분한 수분 섭취와 휴식이 권장됩니다.
LP의 다른 의미: 지질단백질(Lipoprotein)
- 지질단백질의 정의: 의학 분야에서 LP는 Lipoprotein(지질단백질)을 의미하기도 합니다. 지질단백질은 지질(지방)과 단백질이 결합한 복합체로, 혈액 내에서 지용성 지질을 운반하는 역할을 합니다. 주요 지질단백질로는 HDL(고밀도 지질단백질), LDL(저밀도 지질단백질), VLDL(초저밀도 지질단백질) 등이 있습니다. 특히 Lp(a)는 관상동맥질환과 관련된 독립적인 위험인자로 알려져 있습니다.
- 임상적 중요성: 지질단백질 수치는 심혈관 질환의 위험도 평가에 중요한 지표입니다. 특히 LDL 콜레스테롤 수치가 높거나 HDL 콜레스테롤 수치가 낮을 경우 심혈관 질환의 위험이 증가합니다. Lp(a)는 플라스미노겐과 구조적으로 유사하여 항피브린 역할을 하며, 죽상경화 및 혈전생성 과정과 연관이 있습니다. 정기적인 지질단백질 검사는 심혈관 질환 예방을 위한 건강 관리에 필수적입니다.
LP의 신경외과적 의미: 뇌척수액 배액술
- LP 카테터(L-P catheter): 신경외과 영역에서 LP는 요추-복막(Lumbo-Peritoneal) 단락술을 의미하기도 합니다. 이는 뇌척수액이 과다하게 생성되거나 흡수가 잘 되지 않는 수두증 환자에게 시행하는 시술입니다. 요추 부위에서 복강으로 카테터를 삽입하여 뇌척수액을 배액함으로써 두개내압을 조절합니다. 이 시술은 특히 뇌실 내 출혈이나 뇌척수액 과다로 인한 두개강내압 상승 시 효과적입니다.
- 임상 적용: LP 카테터는 수두증 외에도 지주막하 출혈 환자의 뇌혈관 연축 예방, 수술 후 뇌척수액 누출 시에도 사용됩니다. 환자 간호 시에는 배액 속도와 양을 주의 깊게 모니터링해야 하며, 배액량이 목표치에 미치지 못할 경우 카테터 막힘이나 누출 여부를 확인해야 합니다. 뇌 부종이 있는 경우에는 뇌탈출 위험이 있어 시술 전 반드시 뇌 영상 검사가 필요합니다.
의학 용어 LP는 맥락에 따라 다양한 의미로 사용되므로, 의료 현장에서는 정확한 이해가 필요합니다. 요추천자, 지질단백질, 뇌척수액 배액술 등 다양한 의미를 가진 이 약어는 각 전문 분야에서 중요한 의학적 개념을 나타냅니다. 의학 용어의 정확한 이해는 의료진 간의 효과적인 의사소통과 환자 치료에 필수적입니다.
WBC 의학용어

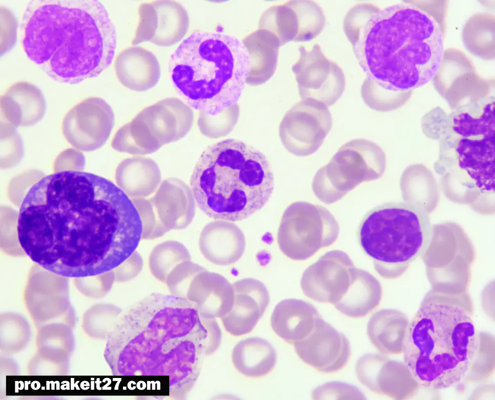
WBC(White Blood Cell, 白血球)는 ‘백혈구’를 의미하는 의학용어입니다. 백혈구는 혈액 내에서 감염이나 외부물질에 대항하여 신체를 보호하는 면역 기능을 수행하는 세포로, 전체 혈구에서 1% 이하를 차지합니다. 골수 내 조혈모세포에서 생성되며 성숙되면 혈액 중으로 방출되어 면역 기능을 수행합니다. 백혈구는 혈액 내에서 유일하게 핵과 세포기관을 가진 완전한 세포입니다. 예를 들어, “환자의 WBC 수치가 상승했다”라는 표현은 환자의 백혈구 수가 증가했음을 의미하며, 이는 종종 감염이나 염증 반응을 나타냅니다.
WBC의 구성 요소
- 중성구(Neutrophil): 백혈구의 40~70%를 차지하는 가장 흔한 유형입니다. 중성구는 박테리아 및 진균 감염에 대해 방어하며 모든 염증반응에서 초기 반응을 빠르게 수행합니다. 감염 부위로 신속하게 이동하여 병원체를 탐식하는 역할을 합니다. 중성구 수의 증가는 일반적으로 세균 감염을 의미하며, 감소는 특정 바이러스 감염이나 약물 부작용을 나타낼 수 있습니다.
- 림프구(Lymphocyte): 미생물이나 항원 등과 같은 외부 침입체와 결합하여 이들을 몸 밖으로 제거하는 면역 반응을 담당합니다. T-림프구, B-림프구, 자연살상세포로 구성되어 있으며, 각각 다른 면역 기능을 수행합니다. T-림프구는 세포성 면역을 담당하고, B-림프구는 항체를 생산하며, 자연살상세포는 바이러스에 감염된 세포나 암세포를 직접 공격합니다.
- 단핵구(Monocyte): 조직 내에서 외부 물질에 대한 탐식작용을 수행하며, 만성 감염 기간 동안 수가 증가합니다. 혈액 내에서 순환하다가 조직으로 이동하면 대식세포로 분화하여 더 강력한 탐식 능력을 갖게 됩니다. 단핵구는 염증 반응을 조절하고 손상된 조직을 복구하는 데도 중요한 역할을 합니다.
WBC 수치의 임상적 의미
- 백혈구 증가증(Leukocytosis): 백혈구 수가 정상 범위(성인 기준 4,000~9,000/μL) 이상으로 증가한 상태를 말합니다. 주로 감염증이 있을 때 증가하며, 세균 감염, 염증, 조직 손상, 스트레스 반응 등이 원인이 될 수 있습니다. 백혈구 증가는 또한 백혈병과 같은 혈액암에서도 나타날 수 있으며, 이 경우 비정상적인 백혈구가 골수에서 과도하게 생성됩니다. 정확한 진단을 위해서는 백혈구 감별계산을 통해 어떤 유형의 백혈구가 증가했는지 확인해야 합니다.
- 백혈구 감소증(Leukopenia): 백혈구 수가 정상 범위 이하(일반적으로 3,000/μL 미만)로 감소한 상태입니다. 이는 골수 기능 저하, 자가면역 질환, 특정 감염(예: 장티푸스), 항암제나 방사선 치료의 부작용 등으로 발생할 수 있습니다. 백혈구 감소증은 면역 기능 저하로 이어져 감염에 취약해질 수 있으므로 주의가 필요합니다. 특히 항암 치료 중인 환자는 백혈구 수치를 정기적으로 모니터링하여 감염 위험을 관리해야 합니다.
WBC 검사의 활용
- 일반 혈액 검사(CBC): WBC 검사는 일반적으로 CBC(Complete Blood Count, 전혈산정)의 일부로 시행됩니다. CBC는 백혈구 수와 함께 적혈구, 혈소판 수치도 함께 측정하는 기본적인 혈액 검사입니다. 이 검사는 다양한 질환의 진단과 치료 효과 모니터링에 활용됩니다. CBC 결과에서 백혈구 수치가 비정상적으로 나타나면, 추가적인 검사를 통해 정확한 원인을 파악해야 합니다.
- 백혈구 감별계산(WBC Differential Count): 백혈구의 다섯 가지 주요 유형(중성구, 림프구, 단핵구, 호산구, 호염기구)의 분포를 백분율로 나타내는 검사입니다. 이 검사는 특정 유형의 백혈구가 증가하거나 감소했는지 확인하여 더 구체적인 진단 정보를 제공합니다. 예를 들어, 중성구 증가는 세균 감염을, 림프구 증가는 바이러스 감염이나 특정 림프구성 백혈병을 시사할 수 있습니다.
백혈구는 우리 몸의 중요한 방어 체계로, 다양한 유형의 백혈구가 서로 다른 면역 기능을 수행합니다. WBC 검사는 감염, 염증, 혈액 질환 등 다양한 건강 상태를 평가하는 데 필수적인 도구입니다. 정기적인 건강 검진에서 WBC 수치를 확인하는 것은 전반적인 건강 상태를 모니터링하는 중요한 방법입니다.
TBI 의학용어

TBI(Traumatic Brain Injury, 外傷性腦損傷)는 ‘외상성 뇌손상’ 또는 ‘외상성 뇌 손상’을 의미하는 의학용어입니다. 이는 외부의 물리적 힘에 의해 뇌에 발생한 손상으로, 인지적, 신체적, 정신사회적 기능의 일시적 또는 영구적 장애를 초래할 수 있습니다. TBI는 경미한 뇌진탕부터 심각한 뇌 손상, 혼수상태, 사망에 이르기까지 다양한 정도의 심각성을 보일 수 있습니다. 전 세계적으로 사망과 장애의 주요 원인 중 하나로, 유럽에서는 다른 어떤 원인보다 더 많은 장애 연수를 책임지고 있습니다. 예를 들어, “교통사고 후 환자가 의식을 잃고 CT 스캔에서 뇌출혈이 발견되어 TBI로 진단받았다”라고 표현할 수 있습니다.
TBI의 분류
- 중증도에 따른 분류: TBI는 일반적으로 경미한(mild), 중등도(moderate), 중증(severe) TBI로 분류됩니다. 경미한 TBI는 전체 TBI의 70-90%를 차지하며, 중등도와 중증 TBI는 각각 약 10%를 차지합니다. 이 분류는 주로 글래스고 혼수 척도(GCS) 점수, 의식 소실 기간, 외상 후 기억상실 기간 등을 기준으로 합니다. 경미한 TBI는 일반적으로 GCS 13-15점, 30분 이내의 의식 소실, 24시간 이내의 외상 후 기억상실을 특징으로 합니다.
- 기전에 따른 분류: TBI는 발생 기전에 따라 폐쇄성(closed) 또는 관통성(penetrating) 두부 손상으로 나눌 수 있습니다. 폐쇄성 손상은 머리에 가해진 충격, 충돌, 흔들림 등으로 발생하며, 관통성 손상은 물체가 두개골을 관통하여 뇌 조직에 직접적인 손상을 주는 경우입니다. 또한 충격 하중(impact loading), 충동 하중(impulsive loading), 정적 하중(static loading) 등의 물리적 기전으로도 분류할 수 있습니다.
TBI의 주요 원인
- 폐쇄성 두부 손상의 원인: 폐쇄성 두부 손상의 주요 원인으로는 낙상, 교통사고, 스포츠 부상, 물체에 맞는 경우, 아동 학대, 폭발로 인한 손상 등이 있습니다. 65세 이상 성인에서는 낙상이 가장 흔한 원인이며, 젊은 성인에서는 교통사고가 가장 흔한 원인입니다. 4세 미만 아동에서는 아동 학대가 가장 흔한 원인으로 보고되고 있습니다. 이러한 손상은 뇌가 두개골 내에서 움직이거나 부딪히면서 발생하는 손상을 초래합니다.
- 관통성 두부 손상의 원인: 관통성 두부 손상은 주로 총알이나 파편에 맞는 경우, 망치, 칼, 야구 방망이 등의 무기에 맞는 경우, 두개골 골절로 인해 뼈 조각이 뇌를 관통하는 경우 등에 의해 발생합니다. 이러한 손상은 직접적으로 뇌 조직을 파괴하고 출혈을 일으키며, 일반적으로 폐쇄성 손상보다 더 심각한 결과를 초래할 수 있습니다.
TBI의 증상과 진단
- 증상: TBI의 증상은 손상의 심각성에 따라 다양하게 나타납니다. 경미한 TBI의 경우 두통, 혼란, 어지러움, 시력 흐림, 귀 울림, 피로감, 수면 패턴 변화, 행동 또는 기분 변화, 기억력, 집중력, 주의력 또는 사고력 문제 등이 나타날 수 있습니다. 중등도 또는 중증 TBI의 경우 이러한 증상 외에도 악화되거나 사라지지 않는 두통, 반복적인 구토나 메스꺼움, 경련, 수면에서 깨어나지 못함, 동공 확대, 말더듬, 사지 약화나 마비, 조정 능력 상실, 혼란 증가 등이 나타날 수 있습니다.
- 진단 방법: TBI의 진단은 주로 신경학적 검사와 의료 영상을 기반으로 이루어집니다. 신경학적 검사에서는 의식 수준, 기억력, 집중력, 운동 및 감각 기능 등을 평가합니다. 의료 영상으로는 CT 스캔이 가장 흔히 사용되며, 두개내 출혈, 뇌 좌상, 두개골 골절 등을 확인할 수 있습니다. 경미한 TBI의 경우 CT 스캔에서 이상이 발견되지 않을 수 있으므로, 증상과 임상 소견을 종합적으로 고려하여 진단합니다.
TBI는 다양한 원인과 심각도를 가진 복잡한 의학적 상태로, 적절한 진단과 치료가 중요합니다. 경미한 TBI의 경우 대부분 완전히 회복되지만, 중등도 및 중증 TBI는 장기적인 장애나 사망을 초래할 수 있습니다. 최근 연구에서는 반복적인 경미한 TBI도 장기적으로 심각한 신경학적 문제를 일으킬 수 있음이 밝혀지고 있어, 모든 TBI에 대한 적절한 관리와 후속 조치가 필요합니다.
FAQ

Q: LP 의학용어는 무엇을 의미하나요?
A: LP는 Lumbar Puncture의 약자로, 한국어로는 ‘요추천자’를 의미합니다. 이는 척추의 요추 부위에 바늘을 삽입하여 뇌척수액을 채취하거나 약물을 주입하는 의료 시술입니다. 주로 뇌수막염, 다발성 경화증 등의 진단이나 특정 약물 투여를 위해 시행되며, 의료 현장에서는 단순히 ‘LP’라고 약칭하여 사용합니다.
Q: WBC 의학용어는 어떤 의미가 있나요?
A: WBC는 White Blood Cell의 약자로, 한국어로는 ‘백혈구’를 의미합니다. 백혈구는 혈액 내에서 감염이나 외부물질에 대항하여 신체를 보호하는 면역 기능을 수행하는 세포입니다. 중성구, 림프구, 단핵구, 호산구, 호염기구 등 다양한 종류가 있으며, 혈액 검사에서 WBC 수치는 감염, 염증, 혈액 질환 등 다양한 건강 상태를 평가하는 데 중요한 지표로 사용됩니다.
Q: TBI 의학용어는 무엇을 뜻하나요?
A: TBI는 Traumatic Brain Injury의 약자로, 한국어로는 ‘외상성 뇌손상’을 의미합니다. 이는 외부의 물리적 힘에 의해 뇌에 발생한 손상으로, 인지적, 신체적, 정신사회적 기능의 일시적 또는 영구적 장애를 초래할 수 있습니다. 교통사고, 낙상, 스포츠 부상, 폭력 등에 의해 발생할 수 있으며, 경미한 뇌진탕부터 심각한 뇌 손상, 혼수상태까지 다양한 정도의 심각성을 보일 수 있습니다.